前歯抜即日インプラント治療

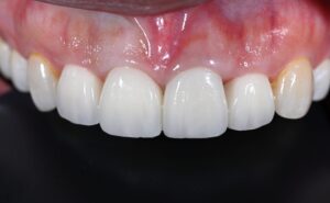
Before

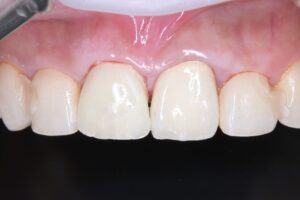
After
| 主訴 | 事故で前歯を強くぶつけてしまい、歯が折れてしまったとのことで来院 |
|---|---|
| 診断名 | 右上1番 歯根破折 |
| 年齢・性別 | 30代・女性 |
| 治療期間・回数 | 治療期間 7か月 通院回数 5回 |
| 治療方法 | 抜歯即時埋入・即時荷重インプラント 骨造成(GBR、PRGF)、ジルコニアクラウン |
| 費用 | 990,000円 |
| 備考 | 事故で破折した前歯を、専用器具「Benex® Ⅲ」を用いて低侵襲に抜歯。周囲の骨を傷つけず垂直に抜歯することで、術後の骨吸収を最小限に抑えています。さらに歯肉を切開しない「フラップレス術式」を採用し、1日で抜歯からインプラント埋入、仮歯装着まで完結。歯がない期間を作らず、即日で審美性と機能を回復しました。身体への負担を軽減しつつ、最短期間で自然な美しさを取り戻す、機能性と審美性を追求した最新の治療法です。 |
治療詳細
-

Benex® Ⅲを用いた抜歯
1. Benex® Ⅲ抜歯のメリット
Benex® Ⅲは、テコの原理ではなく「垂直に引き抜く」ための専用器具です。
周囲の骨や歯ぐきを傷つけない 通常の抜歯は、周囲の骨を削ったり広げたりすることがありますが、垂直に抜くことで骨へのダメージを最小限に抑えられます。
抜いた後の骨の吸収(痩せ)を防ぐ インプラントにおいて土台となる骨は非常に重要です。骨を傷つけずに抜くことで、抜歯後の骨が痩せるのを防ぎ、インプラントの定着を助けます。
痛みや腫れが少ない 周囲組織への侵襲(ダメージ)が極めて少ないため、術後の痛みや腫れが出にくくなります。 -

フラップレス(切開なし)のメリット〈OPE当日仮歯装着写真〉
通常はメスで歯ぐきを切り開いて骨を露出させますが、それをしない手法です。
「切らない・縫わない」から怖くない メスを使わないため、手術に対する心理的な恐怖心が抑えられます。また、縫合(縫うこと)もしないため、抜糸の必要もありません。
術後の回復が驚くほど早い 傷口が非常に小さいため(インプラントを通す穴のみ)、出血が少なく、術後の治癒スピードが格段に早まります。
見た目が自然に仕上がる 歯ぐきを切らないため、血流が維持されやすく、歯ぐきの形が下がりにくいのが特徴です。特に前歯の治療では、天然歯のような自然な見た目を維持するために非常に有効です。